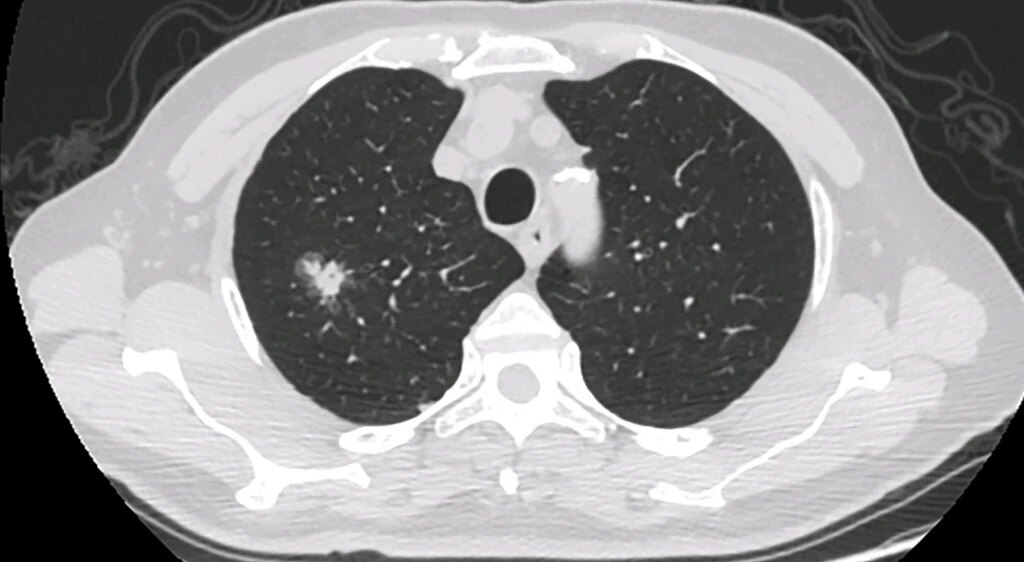
肺部磨玻璃结节是指在胸部CT扫描中呈现出密度增高的亚实性肺部病灶,它们可以是良性的,也可以是恶性的。人们在谈到肺部磨玻璃结节时可能会感到害怕,主要是因为其中一部分可能会发展成为早期肺癌。但是,磨玻璃结节本身只是影像学上的一种描述,不代表疾病本身或者预示着病情走向。
肺部磨玻璃结节有良性病变和恶性肿瘤之分。良性病变可能包括肺部炎症、真菌感染、炭末沉积等,而恶性病变可能是肺腺癌。肺腺癌又分为不同的阶段,包括浸润前阶段、微小浸润腺癌和浸润腺癌。其中,浸润前阶段包括不典型腺瘤样增生和原位癌,而这些在新的胸部肿瘤分类中已被划分为良性病变。

对于肺部磨玻璃结节的管理,通常推荐首次发现时以定期复查胸部CT为主要手段,不建议立即手术干预。如果结节增大或实性比例增加,或者影像学提示可能是微小浸润腺癌、浸润腺癌,那么可以考虑外科手术。对于小于10毫米甚至20毫米的纯磨玻璃结节,多数是原位癌、微小浸润腺癌,如果及时切除,五年生存率几乎为百分之百。
是否选择手术,取决于结节的病理阶段。如果是微小浸润腺癌、浸润腺癌,建议手术治疗;如果原位癌在8毫米以上、病人心理压力大、愿意开刀,也可以进行手术;如果是不典型腺瘤样增生,建议定期CT随访,动态观察。
患者是否选择手术还是定期CT随访,取决于多个因素,包括对结节影像特点、肿瘤转移规律及争议的了解,对科学不确定性的接受,以及对医学人文环境的理解。
总的来说,肺部磨玻璃结节的生长速度、恶性程度存在个体差异,对于无法明确病理阶段的结节,建议定期随访观察CT,动态观察变化。医患共同决策在这个过程中非常重要,患者需要与医生充分沟通,做出最有利于自身利益的选择。老中医在线预约咨询 电话:010-87876186