长期以来,“磨玻璃结节”困惑着不少人群。一方面,有研究证实95%在体检中发现的“磨玻璃结节”大都为早期肺癌;另一方面,“磨玻璃结节”型肺癌越来越多见于传统肺癌的“低危人群”(以东亚裔人群最为常见,非吸烟、女性、低龄化患者),令人闻之色变。
首先,我们要先认识一下什么是磨玻璃结节。

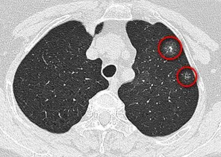
肺内边界模糊或清楚的无一定形状的密度增高影,其内可见血管纹理及支气管壁,因为样子像磨砂玻璃,所称为磨玻璃影(GGO),按照范围分为局灶性和弥漫性。
而以磨玻璃影(GGO)为主要特点的肺部结节就称为磨玻璃结节(GGN),磨玻璃样结节是一种在肺部 CT 薄层扫描上发现的病变。在临床上,根据结节的“透明度”,可以将磨玻璃结节分为
单纯性磨玻璃结节:此类病灶呈现在医学影像学上比较均匀;
混合型磨玻璃结节:此类病灶在医学影像学上表现为“透明度不均”,部分不透明;
实性型磨玻璃结节:这类病灶在医学影像学上表现几乎不透明。
有很多种肺部疾病可以在 CT 上成为此类表现,最常见的是炎症以及一部分早期肺癌。“透明度”不同,疗效差异大。而这三类肺癌的I期患者5年生存率可分别达到100%、87.6%和73.2%。
磨玻璃结节型肺癌

不少人会有疑问,怎样判断磨玻璃结节的良恶性,来确定是不是早期肺癌呢?
不久前,一项来自中国团队的研究成果发表于《胸外科年鉴》。结合大量临床病例的分析和国际上的多项研究,一些在影像学报告上表现为同样特征的“磨玻璃”,可能是全然不同的肺癌亚型。
研究纳入了878例“磨玻璃结节型”浸润性肺腺癌临床病例,证实了“磨玻璃结节型”肺癌在病理上除了可以对应贴壁亚型肺腺癌外,也可以是腺泡亚型、乳头亚型或其他亚型的腺癌,即使是在“纯磨玻璃结节型”肺癌中,非贴壁亚型的肺腺癌比例也达到44.5%。
也就是磨玻璃结节型肺癌可能为一种特殊的肺癌亚型,但此类肺癌预后良好。
结节的良恶性受多种因素的影响,磨玻璃结节的病理可能是良性,也有可能浸润前或浸润性腺癌。良性病变大多在短期内可缩小、消散或长期不变,癌前病变适时合理地治疗可避免其向恶性转变,癌性病变早期合理的治疗可以明显改善病人的预后。
磨玻璃结节的鉴别诊断
1、大小
大小对良恶性鉴别具有重要意义。病灶越大,恶行可能性越大,直径>10mm的磨玻璃结节恶行明显多于良性。

2、内部结构
含实性成分的磨玻璃结节的恶性率占93%,通常实性成分比例越高,则恶性越大;有空泡征和细支气管充气征。空泡征指病灶内<5mm的点状透亮影,位于结节的边缘或中央。24%~48%的肺癌可见空泡征,多见于细支气管肺泡癌和腺癌。
3、形态与边缘
形态为圆形或类圆形较其他形状者恶性可能性更大;有分叶征和毛刺征。国外有研究报道,恶性磨玻璃结节出现分叶征的比例( 63.6%)明显高于良性磨玻璃结节( 8.0%),并且分叶征是恶性病变的独立危险因素。
4、邻近结构
血管集束征和胸膜凹陷征。前者的病理基础是由于病变组织向周围血管、支气管或小叶间隔浸润性生长,病灶周围纤维化,牵拉临近血管向病灶集中形成的;后者是由于病灶内部纤维化、瘢痕收缩,通过肺的纤维间质牵拉游离的脏层胸膜,引起凹陷所致。血管集束征和胸膜凹陷征可以作为恶性征象的参考,在诊断早期肺癌具有一定的指导意义。

5、定期随访
体积增大、密度增高或出现实性成分。以上几点病理特征有助于鉴别结节是良性或是恶性。但良性和恶性特征有一些重叠,基于单一形态通常很难在第一时间就给出判断。因此,临床上随访是一项常用的策略。