一纸体检报告——发现“肺部结节”!吓坏了不少朋友们,大家纷纷怀疑,难道是自己撞上了“肿瘤君”?觉得人生就此黑暗。肺部结节是啥?难道是肺癌?平常怎么一点感觉都没有?别急,认真看看以下内容一一解答您的疑惑!
近年来,随着高分辨率 CT 的普及,越来越多的人体检发现了肺结节,我国发现肺部结节的人群急剧增长,普通人群体检常规胸部CT检查,发生率接近20%,也就是说每5个人中就有1个人身上有肺结节的可能。

因为不了解,再加上肺结节在发现时往往没有症状,CT 或胸片上通常也没有其他具有特征性的异常。很多人在体检中发现肺结节后,都十分焦虑紧张。
由于 CT 的分辨力比胸部 X 线片高很多,所以现在发现肺部有结节的人也逐渐增多,但这并不意味着肺部结节的发病率在明显升高,不必过度恐慌。
什么是肺部结节?
肺部结节是指肺内直径小于或等于3cm非正常的组织,可以是圆形或不规则形状的。其中直径小于1厘米的称之为小结节,直径小于3毫米的称之为微结节,而大于3厘米的我们称之为肿块。肺结节可以表现为单独一个,也可以是多个。
肺部结节≠肺癌
80%-90%以上的肺结节都是良性的,比如炎性结节,这里的炎性不仅仅是通常意义上的细菌性感染引起的结节,还有很多是由于空气中的粉尘颗粒在肺内沉积,肺内的一些巨噬细胞、单核细胞吞噬聚集而成。第二种是一些良性病变,肺的良性肿瘤、肺炎、肺结核、肺动静脉畸形、陈旧性病灶等等,而少数肺良性结节在随访的过程中可能会出现恶变,也就是早期的肺癌。

不同类型的结节如何区分?
根据结节的大小,可以分为:
直径小于5毫米:肺微小结节;直径5-10毫米:肺小结节;直径10-30毫米:肺结节。
根据结节的密度,可以分为以下三种类型:
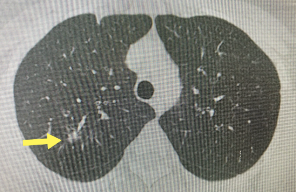
1、磨玻璃结节
在肺中有一些密度比较低的像磨渣样的玻璃,或者类似云雾一样的、小片状的、比较局限的结节,或者有时像一团小棉花一样的结节。就像我们的磨玻璃一样,能隐隐约约看到玻璃后面的场景,所以叫磨玻璃结节。
2、实性结节
结节的密度很高,完全不透明了,好比我们的鸡蛋黄一样,结节内部有填充物,看不到后面的肺纹理。
3、混杂型磨玻璃结节
在 CT 图像上表现为磨玻璃和实性结节的混合,就像蛋清包绕蛋黄,外周是类似于蛋清的磨玻璃成分,中间是类似于蛋黄的实性部分,既有磨玻璃阴影,又有实性成分。
部分结节在影像学上有一些特征性征象,如果我们在结节中看见钙化,或者实性结节的边缘非常光滑、边界非常清晰,这样的结节基本就是良性的。

哪些结节可以观察?哪些需要手术治疗?
低危结节:
5mm及以下的纯磨玻璃样结节、实性结节,一般不建议手术,以随访观察为主,要每年随访,连续3年。
中危结节:
6mm-8mm的纯磨玻璃样结节、部分实性结节,要看是否有危险因素,比如是否有肺癌家族史等危险因素的情况下,患者自身又对结节比较焦虑,也可以选择手术切除,有生长性,也建议手术。
建议3个月、6个月、12个月、24个月持续CT检测,随访时间不小于3年。
高危结节:
8mm以上的结节,如果是初次发现,也可以观察1-2次CT,但如果半年-1年内结节没有良性的变化趋势(缩小或钙化),建议手术切除。
建议直接切除的特殊情况,比如结节的位置靠近肺的边缘,这种结节如果为恶性,在脏层胸膜下有突破脏层胸膜造成胸壁局部转移的可能性。

要注意的是,不是所有小结节在发现当时就需要进行手术切除处理,定期随访是一种有效的临床策略,发现结节应当及时找相应专科医生进行问诊,且进行动态观察尤为重要。