如何看待肺部小结节? 在体检中常有不少人被查出肺部小结节,这是什么性质的结节呢?是肺癌,还是良性病变?患者因而担心不已。
什么是肺部小结节?
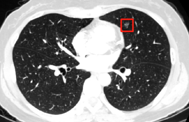
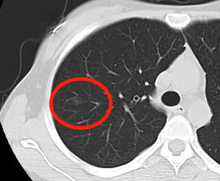
肺结节病因复杂,临床表现缺乏特异性,因此医生诊断有一定难度。近年来,随着螺旋CT的日益普及,结节病变的检出率明显提高。临床上,把肺实质内小于等于3cm的病灶(需除外肺不张和肿大的淋巴结)称为结节,大于3cm的病灶称为肿块,而小于1cm的结节称为小结节,小于5mm的结节称为微小结节,之所以这样定义,是因为大于3cm的病灶多为恶性,而更小的病灶可能是良性或恶性,结节的大小与结节的良、恶性间具有相关性,小的结节,良性可能性大,有资料报道超过2000例小于4mm的微小结节,无一例属于恶性。

哪些人要特别当心肺部小结节?
有几类人在体检发现肺部小阴影或小结节时,千万不要掉以轻心,应当积极咨询专业的放射科、胸外科医师,接受正规的进一步检查和及时的治疗:
(1) 长期吸烟,烟龄超过20年,每天抽烟超过20支以上者,或有长期被动吸烟的人群;
(2) 年龄在40岁以上者;伴随有胸痛、咳嗽、不明原因的痰中带血丝、消瘦、体重下降等症状;
(3) 有肿瘤家族史,特别是肺癌家族史者;
(4) 结节大小在1公分以上,伴有毛刺样、分叶状或毛玻璃样、胸膜凹陷等改变的。
肺部小结节就是肺癌吗
现在胸部X线和CT检查是诊断胸部疾病最常用的手段。胸部CT体检中肺部小结节的发生率高达约10%-20%,发现率远高于X线检查。由于CT具有X线无法比拟的优势,它具有高分辨力,并且为横断位图像,可以避免肋骨、脊柱、心脏的阻挡而清晰的观察肺组织。X线胸片敏感性则相对较差,发现肺癌多数已经中晚期,并常有假阳性,约有30%左右X线胸片报告的肺部结节为假阳性,即没有病灶而是伪影。放射科诊断医师主要是根据小结节的大小、形态、密度、有无钙化、周围有无卫星病灶,边缘有无分叶、毛刺、胸膜凹陷等情况来判断小结节的良恶性,目前诊断准确率可达到95%以上,胸部CT目前被公认为是诊断肺部小结节的最佳检查手段。
小结节的性质多种多样,良性的包括炎性假瘤、错构瘤、结核球、局限性纤维化、局限性慢性炎症等,癌前期病变为不典型腺瘤样增生,恶性的则可能是原发性肺癌或肺内转移癌。
发现肺部小结节该怎么办?
对于大于1cm的结节应当尽量通过多种方法确定结节的良恶性。直径大于1cm的肺内单发小结节,恶性的占到一半以上,而小于5mm的微小结节,如果没有肿瘤病史,则90%以上为良性结节,因此,5mm以下的肺结节每6个月作CT复查一次就可以;5-10mm的肺结节应每3个月作CT复查一次;10mm的肺结节应每1~2个月作CT复查一次。如果随访发现病灶无变化,则常延长至3个月、6个月、1年进行复查,如发现肺小结节2年无变化,则可大致认为为良性结节。当发现病灶有变化时,则根据变化情况作出判断并决定下一步处理意见。

肺部小结节如果确诊为早期肺癌的,进行手术切除,5年生存率可达到80%以上,发现的早晚对于肺癌患者来说,意义完全不同。对于体检发现的肺部小阴影或小结节,特别是对于上述的几种人群高度可疑的小结节,我们应予充分重视,即使结节直径在1cm以下,都可应用微创定位技术和胸腔镜手术,及时对肺部小结节做出正确的诊断和治疗。
由于近年来螺旋CT的发展迅速,能被发现的小结节越来越多,小于2毫米的肺小结节都能给发现,这加大了医生诊断的难度,同时也给患者是否接受治疗带来一定的困扰。
总之,患者一旦发现肺部小结节,不必过度紧张,但也不能麻痹,应积极找放射科、胸外科等专科医生明确诊断,医生会根据患者的具体情况应用其它的检查手段,如胸部CT定期随访、纤维支气管镜、CT定位下穿刺、痰细胞检查等进一步明确诊断。