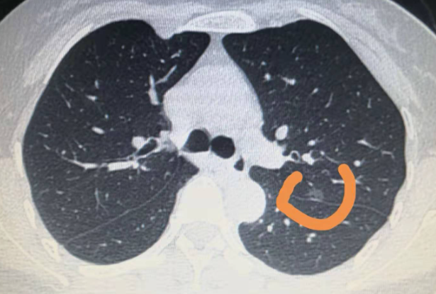
肺部结节一般没有特别明显的表现症状,只有在做检查时才会确诊,当身体出现了肺部结节时,就表示肺部出现了某些疾病,需要引起重视,故而肺部结节的病因有很多,只有搞清楚发病的病因,才能根据病因治疗结节。下面就一起去了解一下造成肺部结节的原因有哪些。
1、肺部结节的发生多与职业因素有关,经常处于石棉或者氯乙烯工作环境中的人,一旦这些物质吸入了肺部,会使身体受到损伤,相对来说就会更容易出现肺部结节,还有那些长期在粉尘环境下工作的人,要是没有做好防护,也可能会导致肺部功能受损,从而引起肺部结节,其次,长期保持抽烟习惯的人也比较容易引起肺部结节。
2、起肺部结节的原因还包括感染因素,比如身体受到了结核菌,蛔虫病,细菌性脓肿等病毒和细菌的感染,就容易产生肺部结节以及别的肺部疾病出现。还有就是,血管发生了病变也是导致肺部结节的原因之一,当肺部里面的血管发生了海绵血管瘤肺动脉畸形,或者是毛细血管扩张等病变,那么就可能形成结节。

3、引起肺部结节最主要的原因就是恶性疾病,比如患上了原发性的小细胞肺癌,乳腺癌,结肠癌,肉瘤等转移性的恶性肿瘤,就会导致肺部组织和细胞受到损伤,然后影响到肺部功能,最后就可表现为肺部结节。
关于肺部结节的病因就先讲这么多,对于该疾病的治疗主要根据不同的病因,采取不同的治疗方案,不管是良性的结节还是恶性的结节,都不能耽搁,该药物治疗的就要选择药物治疗,需要手术干预的则要尽快手术,才能确保疾病能早点被治愈。