什么是肺部结节?
肺部结节通常是指出现在肺部的小病灶,呈圆形,影像密度增高,可为单发或多发。因为变化很小。肺功能不会受到影响,所以基本不会有不适。这里的小病灶是指直径小于3cm的结节,大于3cm的叫肿块,小于5mm的叫肺小结节。此外,部分肺部结节可能是磨砂玻璃结节或含有一些固体成分的结节。可能为恶性肿瘤转移或胸外活动性感染所致。

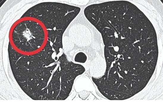
确定结节的性质
肺部结节的性质一般通过肺部结节在CT上的形状、大小、边界、钙化和CT值来评估。
1、不同密度的肺部结节恶性概率不同。根据结节的密度,肺部结节可分为三类:实性结节、半实性结节和磨玻璃结节。其中,半实性结节恶性概率最高,其次是磨砂玻璃结节和实性结节。
2、孤立性结节多见,恶性概率高。
3、结节形状越不规则,恶变的可能性越大。
典型的肺部原发性恶性结节有许多CT症状,如分叶状或放射状骨针状、密度不均匀、靠近胸膜的胸膜凹陷等。结节越大越孤立,就越有可能是恶性的。良性结节的特点是清晰、规则、边缘光滑,密度均匀,无胸膜牵拉。
4、多发性结节一般是良性的,但也可能是晚期癌症。
当其他部位的恶性肿瘤转移至肺部时,可见双侧多分叶软组织结节。因为存在原发性恶性肿瘤,所以通常更容易评估结肠癌和乳腺癌如何转移到肺部。在其他情况下,多个结节可能是良性的。

5、结节倍增时间越短,恶性的可能性越高。
对于恶性程度或恶性程度无法确定的结节,生长速度是评价和检测的重要因素。研究表明,早期支气管癌的肿瘤细胞数量平均可在4-8个月内翻倍,且肿瘤分级越高,翻倍时间越短;良性结节一般生长缓慢,倍增时间在18个月以上。结节一般代表良性病变,如肉芽肿、错构瘤等。病变大小恒定超过 2 年的结节几乎可以肯定是良性的。
专家提醒,当发现肺部结节时,要及时就医,确定结节的性质。