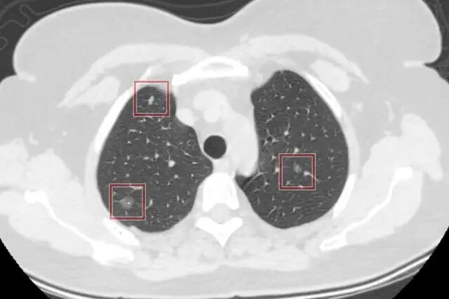
肺部磨玻璃结节,主要是通过CT检查判断是良性还是恶性,同时也可以根据结节的外形、病理学检查等方面进行判断。

1、CT检查:如果肺部出现磨玻璃结节,可以及时到医院进行局部CT检查。如果属于良性结节,边缘会比较清晰,而且没有明显的毛刺或分叶。但是如果存在恶性结节,可能会出现空洞或空洞壁光滑的现象。
2、外形:良性结节一般体积会比较小,生长速度比较缓慢,而且并不会出现高密度影的现象。但是恶性结节一般体积会比较大,而且多发结节较多,生长速度也比较快,同时还会伴随局部高密度影的症状。
3、病理学检查:如果对局部进行组织活检,良性肿瘤并不会存在癌细胞的现象,而恶性肿瘤,可能会伴随肿瘤细胞标志物阳性的症状。
小于5mm的磨玻璃结节建议定期随访,对于3mm的结节一定是定期随访,太小也不适合做手术,可以通过系统的抗炎治疗或者通过中药辨证论治,看3mm的磨玻璃结节是否能够消失。消失说明是良性或者感染,如果没有消失需要继续定期随访。如果3个月内没有变化可以6-12个月随访一次,假如结节迅速变大、形态变化,说明恶变的可能性比较大。

除此之外,也可以通过X线、肿瘤五项等方法进行检查判断,如果存在恶变的现象,需要及时就医治疗,以免延误病情。