肺部结节和肺结核属于两种比较多发的肺部疾病,两者有着很多的区别。肺部结节与肺结核这两种疾病引起的病因有很大的不同肺部结节病是一种原因未明、多系统多器官受累的非干酪性上皮性慢性肉芽肿疾病,病变可自动吸收或进展为纤维化。

90%以上累及胸部,常侵犯双侧肺门淋巴结及肺。其临床表现多种多样,缺乏典型性,X线胸片及常规CT发现肺门增大,高分辨率CT能够更进一步了解纵隔淋巴结肿大以及肺内病变细节,可明确提示结节病诊断,结合临床及活组织检查,可大大提高诊断率。
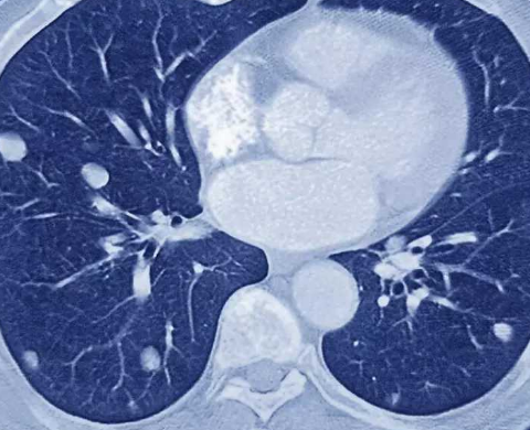
肺部结节与肺结核这两种疾病引起的病因有很大的不同。肺部结节是是由于肺部的细胞组织发生病变,在肺部形成一个一个大小不一的包块,属于上皮细胞肉芽肿性疾病。这些包块弹性较好,形状也很规则,多呈圆形或者椭圆形。并且还会随着挤压具有可移动性。肺结核形成的原因则是因为感染上结核分歧杆菌,属于病毒感染造成的。
肺部结节与肺结核病发的位置也大不相同。肺结节基本会生长在双侧肺门或者肺部的淋巴结处。很少会造成其他部位的病变,即使肺部结节增多,也只会出现在这附近。而肺结核由于是细菌感染造成的,会造成肺部黏膜受损,并且随着病情的发展,感染的面积就会越来越大,患者很可能由单侧肺结核演变称为双侧肺结核。
是否具有传染性是肺部结节和肺结核这两种疾病较基本的区别。肺部结节不是由病毒造成的,是没有传染性的,不会通过呼吸或者接触等传染给别人。但是大多数的肺结核疾病都具有很强的传染性,肺结核患呼出的气体中含有结核病菌,扩散到空气了,很容易传染给别人。