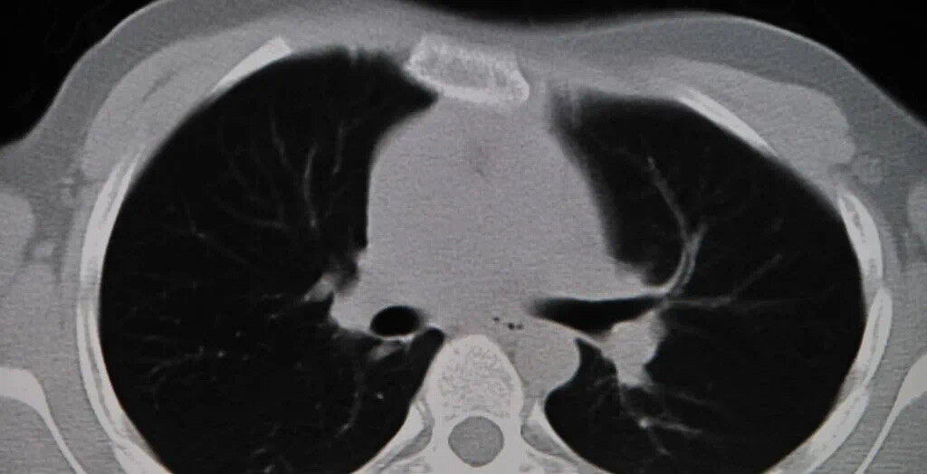
什么是肺部小结节?
患有肺部小结节的人会在做x线或者ct检查时,发现肺部有一些阴影。肺炎、肺结核、肺不张等疾病都可能会引起肺部小结节。如果小结节的直径小于5mm是微小结节,小于1cm为小结节,大于3cm是肺部肿块,此时出现肺癌的可能性比较大。

肺部小结节是常见病
肺部小结节是临床上比较常见的,可以分为良性结节和恶性结节。良性的肺结节多数与肺部炎症和肺结核有关系,与吸烟、精神压力大、遗传因素等因素也有关系。
检查发现的肺部小结节大部分是良性病变,但也要重视。发现肺部结节以后,首先应该通过进一步检查尽可能明确结节的性质。对于良性的肺结节,随访观察,定期复查即可。
如果和肺部炎症、肺结核有关,通过抗感染和抗结核治疗都会好转,对患者的身体影响不大。如果是恶性的肺部结节,可能是肺部肿瘤,这时需要进一步检查明确结节的性质。
肺结节患者应该规律饮食,避免暴饮暴食,戒烟限酒,避免二手烟的伤害。要规律作息,避免精神紧张,有不适症状及时就医。

肺部小结节是肺癌吗?
肺部小结节主要分为两类,一类是炎性病变引起的,此时的肺部小结节不会太大,边缘是干净光滑的,它属于钙化结节,是一种良性的结节,一般不会发生癌变,但是也要注意定期复查。如果发现肺小结节的边缘呈菜花状,结节里有小水泡、血管,出现恶性的可能性很大。一旦确诊为肺癌,要及早进行手术切除。