刘泉鹏、李辉、李利荣等30多位名老中医坐诊中方医院!

健康热线:010-87876186

北京中方中医院

北京中方中医院
当前位置:北京中方中医院 > 肺结节 >

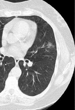
磨玻璃结节,会消失吗?

文章来源:
阅读次数:204次
磨玻璃结节,会消失吗?
 
随着生活水平的提高,每个人的健康意识也有了很大提高。现在许多人将定期进行体检。它能及时发现身体的异常情况,有效避免出现严重疾病。在体检过程中,一些患者会发现他们有肺磨玻璃结节,这让患者非常困惑。他们不知道原因是什么,也不知道它是否会消失。因此,我们应该关注这一现象。
 
有些人在肺部成像时会发现他们的肺部有磨玻璃结节,这会让患者非常困惑。他们不知道它会对身体产生什么影响,也不知道如何治疗。因此,在日常生活中,我们应该更好地了解这方面的知识,了解这种症状的原因,以及我们应该注意的方法,以尽可能避免延误疾病。

 
磨玻璃结节

 
 
磨玻璃结节的病因很复杂。它可以由炎性肿瘤、肺结核或恶性病变引起。因此,在确定我们存在这种现象之后,我们决不能掉以轻心。我们应该及时进行进一步的检查,以避免疾病的延误,而且得不偿失。如果我们在检查后发现它是由炎性肿瘤引起的,我们不必太担心。只要我们治疗炎症,肿瘤就会在病情恢复后自行消退。如果是肺结核引起的,不要太惊慌。虽然这种疾病是持久性的,但只要患者及时服用抗结核药物,注意生活护理,也可以有效控制。
 
但是,如果患者的肺玻璃结节是由恶性病变引起的,我们应该给予足够的重视,因为这种情况对身体非常有害,不仅不会自行消失,而且恶性细胞也会扩散和转移,这将给治疗带来很大困难。因此,我们应该及时手术,尽快切除病变组织。如果疾病发展到中晚期,我们还应该进行化疗和放疗,以清除体内的癌细胞,并尽可能控制疾病的发展。同时,我们也应该注意生活中的护理:我们应该及时服用靶向药物和免疫药物,我们还可以服用相关的中药来调节身体,这对提高疾病的治愈率有很大帮助。
 
磨玻璃结节的病因很复杂。在炎症性肿瘤和肺结核中,它们可以在病情得到控制后消失。然而,对于恶性病变,它不会自行消失,还会导致疾病的传播和转移。
 
发挥中医优势,聚焦全民健康,他们与您共同见证康复奇迹
  • 中医治疗肺结节?读完这个案例,你可能会有不同的看法

温馨提示:倘若您想了解更多关于北京崇文中方中医医院的最新信息或者疾病健康信息,可以拨打咨询热线:010-87876186 在线咨询专家。提供疾病预防、治疗、护理等专业知识,名老中医在线坐诊,随时随地询诊健康。

相关文章:

走进中方

北京崇文中方中医医院,自成立以来始终秉承"厚德载物,大医精诚"的医院文化,传承.....

推荐老中医

陈品一
陈品一名老中医

擅长:陈品一,男,副主任中医师,全国基层名

我要咨询/预约
张天丰-北京中方中医院
张天丰-北京中方中医院名老中医

擅长:张天丰 主任医师 中医男科 张天丰

我要咨询/预约

疾病快速导航

肺结节
肺部小结节肺部结节肺部ct有结节肺结节病磨玻璃结节肺结节影肺有结节怎么办左肺上叶小结节双肺有小结节肺结节能消吗
肺结节症状
肺上结节80%是肺癌吗肺上有结节是怎么回事肺部结节形成原因肺结节是什么意思肺部结节最怕三个征兆肺结节吃什么药能散结肺结节吃什么食物散结节最快肺结节最怕三味中药肺结节10个人9个人有吗两肺多发小结节什么意思
医院科室
中医男科中医耳鼻喉科中医内科中西医结合科针灸科推拿科中医妇科中医肿瘤科中医皮肤科中医外科
温肾助阳
耳聋耳鸣腰膝酸软失眠多梦畏寒肢冷月经不调牙齿酸痛肾虚脱发小便清长神疲乏力头晕目眩

医院环境

京ICP备2020039535号-19 特别声明:本站内容仅供参考,不作为诊断及医疗依据 ,您有任何疑问,都可以及时联系我们。

北京中方中医院