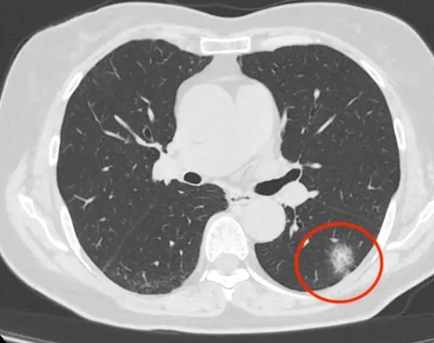
肺部结节是指直径不超过3厘米、圆形或椭圆形、不透明、周围有肺实质的肺部病变。在胸片或CT扫描中,结节像一个小的白色丘疹。
大多数结节是良性的。炎性假瘤、错构瘤、结核瘤、真菌感染、硬化性肺细胞瘤、局灶性出血等会引起肺结节,这些结节大多不会发展为肺癌。
肺结节根据其性质、大小和密度进行分类。那么,哪些肺部结节的风险较高?

● 看形态
见大小:大于1.5cm的实性结节或大于8mm的混合毛玻璃结节为高危结节,必须给予足够重视并定期复查。
● 在定期复查中,如果结节继续生长,也必须高度警惕恶性肿瘤。
定期复查很重要,妥善保管体检报告。
比较不同时期的多种影像学结果对判断肺结节的良恶性非常重要。因此,建议肺结节患者妥善保存肺结节的相关图像数据(CT胶片应尽可能保持凉爽、干燥和黑暗),如果可以获得,最好保存图像数据的电子版本。