刘泉鹏、李辉、李利荣等30多位名老中医坐诊中方医院!

健康热线:010-87876186

北京中方中医院

北京中方中医院
当前位置:北京中方中医院 > 肺结节 >

磨玻璃结节是怎么回事?它是什么?

文章来源:网络
阅读次数:218次

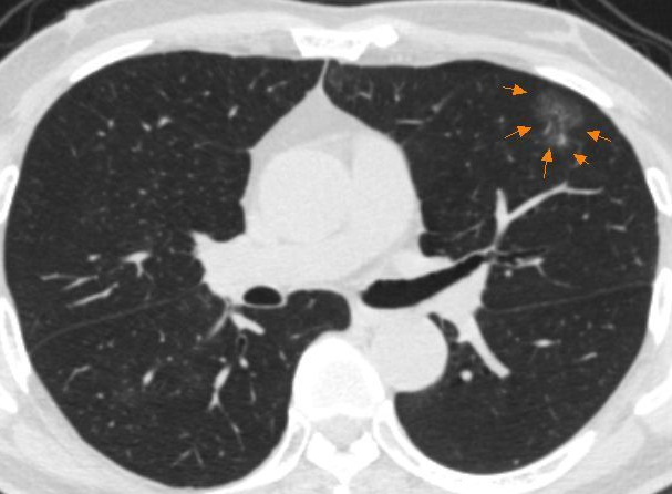
磨玻璃结节见于炎症、出血和肿瘤,与腺癌密切相关,因此有必要对毛玻璃结节进行综合评价并密切随访。


磨玻璃结节的直径和形状与恶性病变的程度密切相关。结节直径越大,有分叶状、毛刺等表现,高度提示为恶性病变。结节直径小,可能是良性的。


磨玻璃结节


对于淋巴结恶性肿瘤可能性高的患者,需要穿刺活检以明确其病理性质。对于无恶性病变趋势的磨玻璃结节,应进行密切随访和复查。在随访期间,结节的密度或直径增加,提示恶性疾病,需要积极活检或直接手术切除。


发挥中医优势,聚焦全民健康,他们与您共同见证康复奇迹
  • 中医治疗肺结节?读完这个案例,你可能会有不同的看法

温馨提示:倘若您想了解更多关于北京崇文中方中医医院的最新信息或者疾病健康信息,可以拨打咨询热线:010-87876186 在线咨询专家。提供疾病预防、治疗、护理等专业知识,名老中医在线坐诊,随时随地询诊健康。

相关文章:

走进中方

北京崇文中方中医医院,自成立以来始终秉承"厚德载物,大医精诚"的医院文化,传承.....

推荐老中医

陈品一
陈品一名老中医

擅长:陈品一,男,副主任中医师,全国基层名

我要咨询/预约
张天丰-北京中方中医院
张天丰-北京中方中医院名老中医

擅长:张天丰 主任医师 中医男科 张天丰

我要咨询/预约

疾病快速导航

肺结节
肺部小结节肺部结节肺部ct有结节肺结节病磨玻璃结节肺结节影肺有结节怎么办左肺上叶小结节双肺有小结节肺结节能消吗
肺结节症状
肺上结节80%是肺癌吗肺上有结节是怎么回事肺部结节形成原因肺结节是什么意思肺部结节最怕三个征兆肺结节吃什么药能散结肺结节吃什么食物散结节最快肺结节最怕三味中药肺结节10个人9个人有吗两肺多发小结节什么意思
医院科室
中医男科中医耳鼻喉科中医内科中西医结合科针灸科推拿科中医妇科中医肿瘤科中医皮肤科中医外科
温肾助阳
耳聋耳鸣腰膝酸软失眠多梦畏寒肢冷月经不调牙齿酸痛肾虚脱发小便清长神疲乏力头晕目眩

医院环境

京ICP备2020039535号-19 特别声明:本站内容仅供参考,不作为诊断及医疗依据 ,您有任何疑问,都可以及时联系我们。

北京中方中医院