肺有结节怎么办?
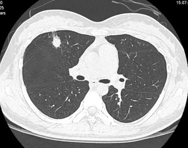
大家都会非常关心,想咨询一下肺结节究竟要不要做手术,应该怎么处理,我是不是应该到国内有知名的专家的那个地方去看呢?其实肺结节最佳的处理方式就是一个随访,那么我们如何进行一个随访呢?我们在第一次发现这个肺结节的时候,就判定这个肺结节有没有风险,大家经常会私信,或者是在视频下面留言,有多大多大的一个结节,是不是恶性的,要不要做手术等等,需要做手术或者是不是恶性的话,我就要去看他的细节,谈到细节的话,大家平时拿到的这样一个胶片,几毫米的结节我们是看不清楚的,我们需要在电脑上进行一个放大。

我们放大了要看什么呢?看这个结节的边缘,他有没有毛刺,有没有分页等等这些高风险的因素,比如说胸膜牵拉呀等等,如果合并了这些高风险因素,它又是大于六到八毫米的,我们就成为他有风险了,所以你刚给我提出的这个九毫米的结节,要不要做手术,我是没办法回答,如果是第一次发现的话,我都会建议患者进行随访观察,曾经也有一些患者,他拿着第一次发现呢,他要求我给他手术切除,我就会综合来判定,如果他风险并不高的话,我是不会去给患者做一个切除的。有部分患者他在随访观察的过程中,他那个结节它是会消失或者变小的,在这种情况下,如果他选择了手术,尤其是一个良性的结节,如果选择了手术,对患者还是一个比较大的一个创伤,我们再试一个微创手术,对患者都是有影响的,所以我的观点是发现了,结节,我还是建议随访,我们要尽量避免手术,而不是想方设法的去把它切除。