发现直径大于3厘米的肿块或直径在1-3厘米之间的肺部小结节,应及时就医,尽早明确诊断,并采取果断措施。一些医生认为,大于8毫米的肺部小结节应该通过手术切除。
对于直径在5至10毫米之间的小结节,也应高度重视,可进行增强CT或PET-CT检查以进一步澄清。您还可以对相关项目进行血液检查和痰检,进行全面分析,并协助诊断。如有必要,应通过支气管镜或经皮穿刺获得病理,或通过胸腔镜手术进行直接切除。此外,从结节图像来看,恶性的可能性并不高,我和家人的心理素质都很强。CT扫描也可以进行3-6个月。如果是直径小于5毫米的小结节,我的建议是在3-6个月内进行随访检查。当然,它也可以作为5毫米以上的结节来治疗。
随访观察3-6个月和6-12个月。如果结节变小或消失,则表明它们是炎症性结节,不需要进一步关注。随访观察显示,结节基本保持不变,可以继续观察,可能是由于变化过时或发育极慢。如果观察后结节明显变大,应特别注意并积极采取措施。
形态和位置
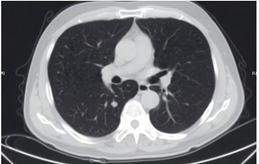
如果没有上述症状,则形状规则、边缘光滑更适合观察。肺结节的位置也很重要!肺门中央附近的结节应高度重视。一旦它们长大,手术的难度就会显著增加,甚至无法切除。(图8)
中肺周围结节的手术切除更容易,更适合观察。

中胸膜附近的结节易于去除,对肺组织的影响很小。