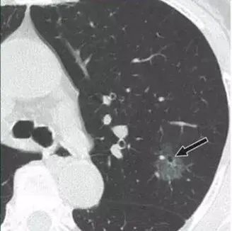
T影像学是肺部小结节的第一手资料。根据国家诊断指南,影像学医生首先将肺结节的肿瘤风险分为低风险结节(小于5mm)、中风险结节(5-8mm)和高风险结节(大于8mm)。当然,尺寸只是重要的参考标准之一,需要根据他们的“整体外观”等因素做出综合判断。如果它过于专业,就不会重复。

肺结节管理原则:CT随访、非手术活检、手术切除等是肺结节常用的管理方法。不同的癌症风险结节应分级管理:
低风险结节:应进行年度或物理随访,大多数小于3mm的结节不需要随访;
中危结节:随访6-12个月,如果病变稳定,则改为每年随访;
高危结节:随访3个月或选择穿刺活检和手术。最好进行影像学、胸外科、肿瘤学、呼吸系统、病理学等多学科会诊(MDT),以提供合理的治疗建议。一般而言,磨玻璃结节和亚实性结节患癌症的风险高于实性结节。早期癌症从非典型腺瘤性增生到原位癌再到微创腺癌的病理发展历史相对较长。因此,建议至少5年的随访期,这是测试“善与恶”的大师!还建议在同一家医院进行CT随访,以进行准确的影像学比较。在随访过程中,如果肺结节出现直径增大、密度增大、分叶、毛刺、胸膜凹陷等“不良”体征,则被列为高危结节,应及时到医院诊治。简言之,低剂量CT筛查癌症,早期发现和手术,将最大限度地为患者带来好处。
当发现肺结节时,不要有“心结”,只要做好适当的分级管理!我们的医学影像中心是一个集临床、教学和科研为一体的学校级重点学科。利用先进的设备,我们对胸部进行了低剂量薄层高分辨率CT筛查,并在人工智能(AI)的辅助下进行了诊断。竭诚欢迎您咨询,为您提供优质、快捷、准确的服务!祝你身体健康!