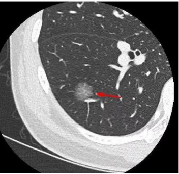
据肺部结节的性质,肺部结节可分为良性结节和恶性结节。良性结节可能是肺炎、肺结核等感染痊愈后留下的疤痕,也可能是良性肿瘤;恶性结节包括肺癌癌症、转移性癌症等c.
1、肺部结节是癌症吗?
肺结节不等于癌症,肺结节有良恶性之分。当发现肺结节时,我们应该保持冷静和理性,并以正确的态度科学地对待它们。并及时就医,寻求医生的进一步评估和治疗,定期随访检查,必要时采取一定的干预措施y.
2、如何检测肺部结节?肺结节通常使用肺部CT、X光、MRI和其他仪器进行物理检查。

3、当发现肺结节时,我可以选择去哪个科室就诊?为了满足大量肺结节患者的诊疗需求,深圳市第二人民医院开设了肺结节多学科联合门诊,让患者享受由多位专科主任量身定制的专业、精准、个性化、规范化的肺结节精准诊疗方案,改善他们的医疗体验和幸福感。第三,肺部有结节,心脏有成千上万的结节。不要惊慌!医院肺结节的MDT门诊部为您提供了
4、什么是多学科联合诊疗诊所?
多学科联合诊疗(MDT)是来自多个学科的专家共同讨论,根据门诊患者的现状,如诊断、治疗和管理,确定最佳治疗方案。MDT的特点是“以病人为中心”、“多学科协作”和“标准化诊疗”。多位专家携手合作,共同探索更适合个别患者的综合治疗方案。这让患者在诊疗过程中少走弯路,享受高质量、低成本、最便捷的诊疗服务,为患者带来“1+1>2”的诊疗效果。

5、肺结节多学科联合诊疗门诊
我院肺结节多专业联合诊疗门诊依托多学科优势,与呼吸与危重症医学、胸外科、医学影像学、以及其他相关部门。基于肺结节的影像学表现,结合吸烟、肿瘤家族史及相关临床症状等高危因素,整合多学科资源进行综合评价,解答肺结节患者心中的疑虑,减轻心理负担,发展更全面、规范、专业、准确的诊疗方案,达到早发现、准确诊断、及时治疗、正确治疗的目的。