肺癌是威胁我国居民健康的一大危险因素,其发病率和死亡率在我国均位居第一。
磨玻璃结节(ground glass nodule, GGN)是指直径<3 cm被肺实质包绕的局灶性圆形或不规则密度增高影,其密度可不均匀。GGN可由炎症、活动期结核、肺内出血或早期肺癌等原因造成,多数属于良性或可疑恶性,需要随诊观察。近年随着高分辨率CT的广泛应用,越来越多的肺部GGN被检出。通过对GGN的随诊观察,我们能够动态观察其影像学特征和生物学行为的自然发展变化,进而准确指导临床实践。

发现磨玻璃结节一定预示着不好的结局?
事实上,磨玻璃结节是一种非特异性的影像学表现,只要是引起肺泡腔充气程度的任何改变,都可以在CT影像上形成磨玻璃结节。换句话理解就是,磨玻璃结节只是影像学上一种客观的描述,不代表疾病本身或者预示着病情走向。
不一定,理由如下:
1、影像学表现为磨玻璃结节最常见的是炎症和早期肺癌,因此GGO常常被认为是早期肺癌的标志。一般来说,持续存在的GGO往往预示着恶性病变,但是少数良性病灶也可能持续存在,比如肺内淋巴结,瘢痕组织;
2、GGO型肺癌常见于年轻、女性和不吸烟人群;
3、鉴于实性结节中浸润性肺腺癌的比例远大于纯GGO,代表结节密度的CT值可能与病理浸润程度相关。
遇到磨玻璃结节,该如何进行分类?
在临床上,以肺磨玻璃结节最为多见。所谓的肺磨玻璃结节,主要是指在CT肺窗上的淡云雾状结节影,其内可见正常穿行的支气管和血管影。
对于肺磨玻璃结节,其病理学基础是肺泡壁增厚、肺泡腔被细胞、渗出及 组织碎片充填、替换,气体吸收减少导致肺泡塌陷。

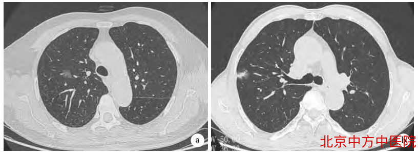
a:纯磨玻璃结节;b:混合磨玻璃结节
目前,根据CT肺窗上是否存在实性成分,可将其分为纯磨玻璃结节(pGGN)和混杂性磨玻璃结节(mGGN)。
其中,pGGN又称为非实性结节,其内不含有实质成分;mGGN又称为部分实性结节,其内既有纯磨玻璃密度影,又含有实质成分。
肺磨玻璃结节都会发展成癌?
现实中,之所以很多人谈到肺部磨玻璃结节会色变,主要是因为肺磨玻璃结节中有一部分会发展为早期肺癌。但事实上,肺磨玻璃结节也有“好”、“坏”之分。
据先关研究显示,1/3左右的概率会发展成恶性肿瘤,另外的表现为不典型腺瘤样增生,属于腺癌的浸润前病变。
(1)好的肺磨玻璃结节(良性GGN)
主要是良性病变导致,比如局灶性间质性纤维化、局部炎症细胞浸润、纤维组织增生、肺泡及其间质机化、肺泡萎陷等,在CT上均可表现为磨玻璃结节。
此外,感染引发的炎症、出血及水肿、支气管镜或经胸肺活检所造成局灶性肺损伤,短期内肺上也可表现为磨玻璃结节。
有研究发现,良性肺磨玻璃结节的CT影像特征呈豆状、多边形、三角形、圆形或半圆形,边缘光滑,其中Ⅰ型GGN边界模糊,最中间位置是内核中心,部分呈偏心性;Ⅱ型GGN病变多已侵犯邻近血管,但未包埋血管。

注:a:良性结节,边界不清。b:良性结节,边界清晰/光滑, 经治疗后消失
(2)坏的肺磨玻璃结节(恶性GGN)
主要为微浸润癌、浸润性癌症、浸润性黏液腺癌等多种病变的病理表现。
病灶越大,实性成分越多,其恶性可能性越大。有研究指出,恶性GGN的主要特征是血管扭曲/扩张、边界清楚光整,更倾向于包裹并拖曳血管进入病变。

:a:结节位于左下肺,内见增粗血管。b:结节边缘可见血管拖曳、血管集束征象