原发性支气管肺癌(简称肺癌)是全球常见,目前发病率及死亡率最高的恶性肿瘤之一,临床上分为非小细胞肺癌(NSCLC)和细小胞肺癌(SCLC),NSCLC所占比例高达80-85%,确诊时处于局部晚期或晚期的患者约70%。肺腺癌是NSCLC中最常见的组织学类型,约占50%以上,是临床最常见的肺部恶性肿瘤,较易发生远处转移。2011年,国际肺癌研究学会、美国胸科学会和欧洲呼吸学会公布了肺腺癌新分类法,分为:浸润前病变、微浸润腺癌(MIA)以及浸润性腺癌,浸润前病变又分为不典型腺瘤样增生(AAH)和原位腺癌(AIS),而且,四种肺腺癌在CT上均能显示为磨玻璃结节。

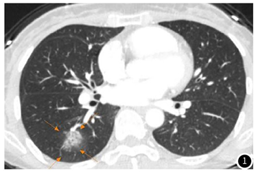
图1 肺内有磨玻璃样结节,周边边缘不清晰
磨玻璃结节在病理上与肺腺癌关系密切,那么,CT表现为磨玻璃结节就一定是肺腺癌吗?
一、什么是“磨玻璃结节”?
磨玻璃结节(ground-glassnodule, GGN)是肺内有局灶性云雾状密度增高影,包括边界清楚和不清的病变,但能显示出其中的血管和支气管纹理,这一典型的胸部CT影像称为磨玻璃结节,就像在肺组织上蒙了一块磨玻璃一样。病理表现为肺泡壁增厚,肺泡腔塌陷,含气量减少,出现细胞、渗出液及组织碎片。根据是否含实性成分,将GGN分为纯磨玻璃结节(pGGN)和伴有实性成分的混合磨玻璃结节(mGGN)。
近年来,随着胸部计算机断层扫描(CT)检查的广泛开展,越来越多的无症状肺部磨玻璃结节被发现。其发病人群的特点是东亚裔人群、非吸烟人群、女性和低龄化。
GGN是一种非特异性影像学表现,肺部的良、恶性病变均可在胸部CT上表现为磨玻璃结节,可见于不典型腺瘤样增生、腺癌,包括原位癌和微浸润癌,以及良性病变如炎症、局部出血和肺纤维化。由此可知,肺磨玻璃结节有恶性病变,也有良性病变,也就是说磨玻璃结节并不代表肺癌。
既然,GGN与早期肺癌密切相关,因此,对其鉴别诊断以及处理尤其重要。
二、对肺“磨玻璃结节”良恶性的鉴别

CT是显示GGN的首选方法。对于GGN良恶性的鉴别,需要根据结节的大小、形态、边缘及瘤-肺界面,结节内部密度特征,内部结构特征,瘤周结构以及病灶随访观察等表现综合分析做出正确的诊断和鉴别。
1、结节外观评估
随着结节体积增大,GGN的恶性或浸润性概率增加;大多数恶性GGN的整体形态为圆形或类圆形,结节边缘多呈分叶状,或有毛刺征(又称棘状突起),结节边缘清楚但不整齐,瘤-肺界面清晰、毛糙甚至有毛刺。
2、结节内部特征
GGN密度较高、不均匀提示恶性可能性大;持续存在的GGN大多数为恶性,或有恶性发展倾向。GGN的平均CT值对鉴别诊断具有重要价值,密度高恶性概率大,密度低恶性概率小,同时需要结合结节大小和形态变化来综合判断。
3、关于增强
对于pGGN一般不推荐做CT增强扫描,而mGGN、病灶与肺血管关系密切或怀疑淋巴结转移的结节建议行胸部CT增强扫描。
4、病灶随访
定期随访比较结节的外部和内部特征对良恶性的诊断同样具有重要意义。当(1)GGN增大,(2)GGN稳定并密度增大,(3)GGN稳定或增大并出现实性成分,(4)GGN缩小但实性成分增大,(5)GGN出现毛刺、分叶或胸膜凹陷征,提示恶性GGN。

左左肺下叶浸润性腺癌,病灶呈现出不规则GGN表现,边界清晰,有毛刺和分叶征
右左肺上叶前段浸润性腺癌,轴位示不规则GGN表现,边界清晰,有分叶和胸膜凹陷征
三、发现“磨玻璃结节”要立即手术吗?
中华医学会放射学分会心胸学组制定了《肺亚实性结节影像处理专家共识》,共识提出,要对GGN进行恶性概率估算后,才能进行处理,并按恶性概率不同分为:考虑恶性的GGN,考虑良性的GGN和难定性肺结节三大类。
1、考虑恶性的GGN
把握度较大的恶性GGN应尽早手术切除;把握度不大但倾向恶性的GGN可随访3个月,持续存在的pGGN若CT表现为分叶状、边缘毛躁、内部密度不均或空泡征建议手术切除;mGGN随访无变化或增大增浓,均建议手术切除。
2、考虑良性的GGN
建议3个月后复查;若患者严重焦虑可在医师的指导下进行抗炎治疗,1个月后复查之后随访。