“体检CT报告说我的肺里长玻璃了?这是怎么一回事,是癌症吗?”60岁的孙先生体检CT报告上出现了“肺磨玻璃结节”的字样,肺结节大家都有所了解,那么,磨玻璃结节又是什么呢?是恶性的吗?
什么是磨玻璃结节?

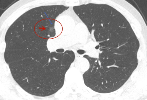
肺结节大家都比较熟悉,它是肺影像检查中直径≤3厘米的局灶性、类圆形、密度增高的肺部阴影。根据肺结节密度的不同,可分为高密度的实性肺结节和相对低密度的亚实性肺结节。磨玻璃结节就属于亚实性肺结节的概念。
肺磨玻璃结节的特点就在于“磨玻璃”。专业来讲,“磨玻璃”就是病灶密度不足以掩盖肺内走行的血管和支气管影;通俗来讲,“磨玻璃”就是状似磨玻璃的“虚影”。这些“虚影”又可分为“一点实影也没有”的纯磨玻璃结节和“虚实混杂”的混杂性结节,其中,混杂性结节又称为部分实性结节。
磨玻璃结节有良有恶
肺磨玻璃结节不一定是恶性肿瘤,导致磨玻璃结节出现的病因有很多:
可以是病理学上较为良性的非典型腺瘤样增生(AAH)(非典型腺瘤样增生属于腺癌的浸润前病变,绝大多数是惰性病灶,可以长期随访观察,发现进展再手术也不晚,很多人甚至一辈子不进展);
可以是原位腺癌(原位腺癌绝大多数是惰性病灶,发展缓慢,不会转移,切除后不会复发,长时间后可能会进展为早期浸润癌,可以多年不进展,首次发现可以先随访观察);
可以是恶性的浸润性腺癌;
也可以是良性的局限性炎症、局限性出血或局限性肺纤维化等。

什么样的磨玻璃结节需要警惕?
既然肺磨玻璃结节的病因有“良”有“恶”,那什么模样的结节恶性程度的可能性较高呢?恶性程度较高的肺磨玻璃结节通常具有以下特点:
磨玻璃结节随时间推移逐渐长大;
逐渐出现实性成分或实性成分逐渐增加;
直径>10毫米;
呈分叶状或有毛刺。
发现“磨玻璃”后应该怎么办?

根据美国Fleischner学会于2017年发布的CT检出肺部偶发性结节的管理指南指出:
对于直径<6 mm的孤立性纯磨玻璃结节,不建议进行常规随访(1B等级;强推荐,中质量证据)。
对于直径≥6 mm的孤立性纯磨玻璃结节,建议在6~12个月进行随访,之后每2年进行随访,直至5年(1B等级;强推荐,中质量证据)。
对于直径≥15mm的孤立性纯磨玻璃结节,建议密切观察,必要时活检和(或)切除治疗。
对于直径>15mm的混杂性结节,或混杂性结节逐渐增大或实性成分逐渐增多的,建议密切观察,必要时活检和(或)切除治疗。
对于结节<6 mm的多发亚实性结节/磨玻璃结节,须考虑感染的病因。若在3~6个月进行初始随访后病灶仍存在,考虑在2和4年时进行随访以确定结节的稳定性(等级1C;强推荐,低或非常低质量证据)。
对于至少有1个结节直径>6 mm的多发性亚实性结节/磨玻璃结节患者,治疗决策应根据最可疑的结节。在这种情况下,考虑感染性病因。若3~6个月后仍然存在,考虑多发原发性腺癌(等级1C;强推荐,低或非常低质量证据)。

注意,当可疑结节超过一个时,与孤立性结节相比,前者为肺癌的总体机率增加。
总的来说,磨玻璃结节是否为恶性并不能一概而论,需要由专业的医生判断。对于需要切除的磨玻璃结节,如何在提高疗效的同时减少手术创伤十分关键。达芬奇机器人手术创伤小,术后疼痛少,可有效缩短住院时间,是磨玻璃结节切除手术的不二选择。